Dra. Cynthia Souza Vasconcelos - Reabilitação Oral Dra. Cynthia Souza Vasconcelos - Reabilitação Oral

FACETAS DE PORCELANA

Em dentes amarelados,

desgastados, mal posicionados...

Dentes amarelados
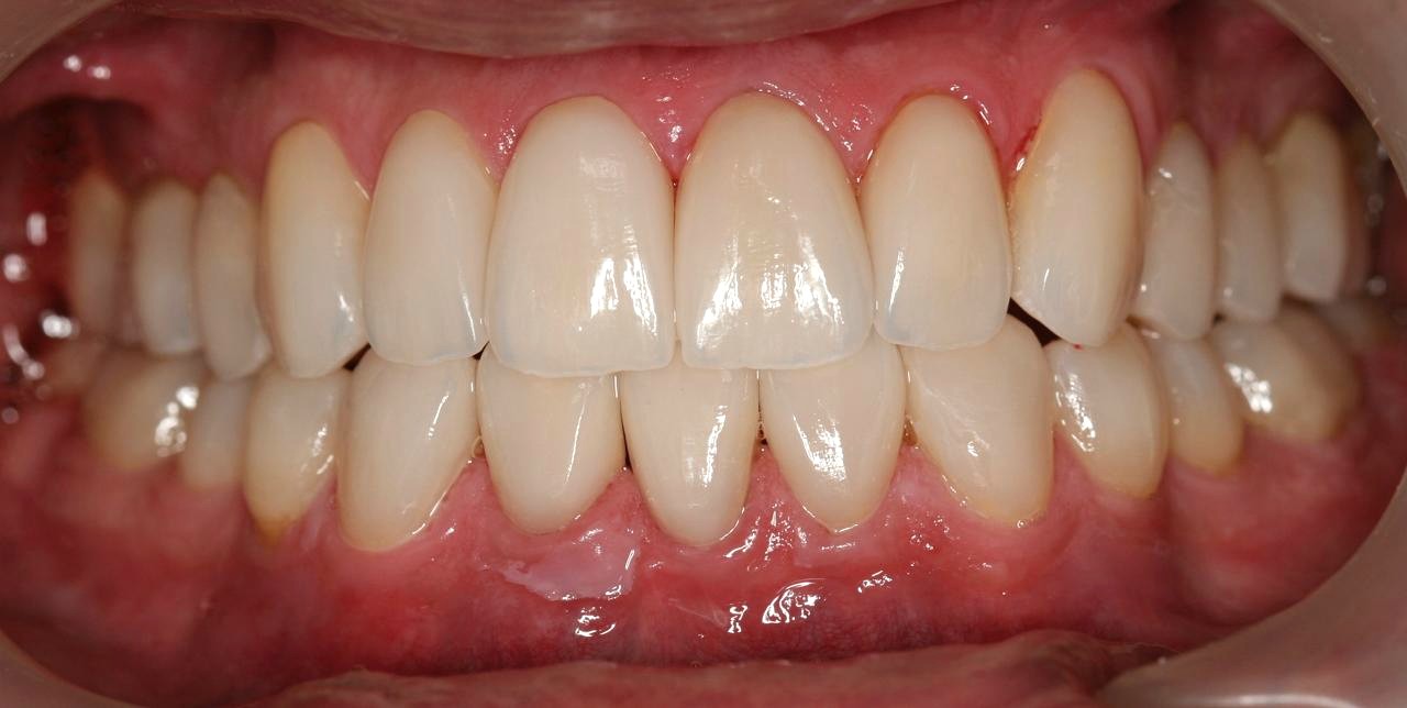
Dentes com lentes

... instala lâminas feitas de porcelana

que serão coladas à superfície dos

dentes preparados para recebê-las ...

... sem dor, sem desconforto

e com muita previsibilidade...

Sorriso antes
Sorriso depois

... teremos um sorriso harmônico e natural.

As facetas de porcelana devolvem também a saúde gengival.

E saúde gengival também é

importante na estética do sorriso.

ETAPAS DO TRATAMENTO

Consulta Inicial

Consulta inicial

  • Avaliação clínica.
  • Escaneamento digital.
  • Pedido de exames
  • complementares.

Consulta Retorno

Consulta retorno

  • Como faremos as Facetas.
  • Qual o tempo de tratamento.
  • Sobre o preço.
Início do Tratamento

Início do
tratamento

  • Mockup.
  • Preparo dos dentes.
  • Novo escaneamento.
  • Envio ao ceramista para a produção das facetas.
  • Instalação dos provisórios.
Instalação das Cerâmicas

Instalação das
Facetas de Porcelana

  • Remoção dos provisórios.
  • Instalação das facetas dente a dente.
AGENDE SUA AVALIAÇÃO WhatsApp

Tratamento Odontológico Estético

AGENDE SUA AVALIAÇÃO WhatsApp
  • Faceta de porcelana
  • Coroa total de porcelana
  • Prótese sobre implante
  • Prótese total
  • Clareamento dental
Dra. Cynthia Souza Vasconcelos

Dra. Cynthia Souza Vasconcelos

  • Periodontista Especialista em 1994
  • Implantodontista Especialista em 2004
  • Protesista Especialista em 2006
  • Harmonização Orofacial Especialista em 2022
AGENDE SUA AVALIAÇÃO WhatsApp

PERGUNTAS FREQUENTES

As Facetas de Porcelana mimetizam o esmalte dos dentes. Elas têm a durabilidade do esmalte dental. Elas podem desgastar, quebrar e soltar caso os dentes não estejam bem engrenados na mordida. Por isso é importante um planejamento bem feito e a manutenção periódica da reabilitação.

Não, as Facetas de Porcelana não mancham porque são vidro polido. Não têm porosidades e então não mancham.

Sim, são reversíveis mas o processo requer habilidade do profissional.

Sim, Facetas de Porcelana instaladas e bem ajustadas não limitam a mastigação dos alimentos.

Sim. Manutenção periódica. Sugiro retorno ao dentista a cada 6 meses.

Depende da necessidade estética. Dente escurecido ou mal posicionado sofre maior desgaste. Dente com a cor natural e bem posicionado sofre menor desgaste.

AGENDE SUA AVALIAÇÃO WhatsApp